Bio-Spun™ Scaffolds
Your Solution to 100% Human Relevant Data in an In Vitro Environment
Bio-Spun™ Scaffolds are uniquely designed to replace the bodies natural extracellular matrix, eliminating the need for unreliable animal derived products commonly used in the scaffold of 3D cell culture. This results in a 100% Animal-Free model with a significant improvement in reliability and consistency.
BioSurfaces also provides custom solutions and have attached our scaffolds to a range of products used for 3D bioprinting, organ-on-chip, and cell therapy applications. We can also incorporate drugs, growth factors, or other bioactive agents directly onto the Bio-Spun™ scaffold using our unique process to help customers target specific cellular effects if desired.

Current Tissue Models Made with Bio-Spun™ Scaffolds

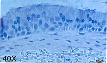
Airway Model
H&E-stained cross section of full-thickness human bronchial epithelial model produced on Bio-Spun™ PET Scaffold. The scaffold is populated with pulmonary fibroblasts which produce a fully human derived subepithelial matrix component. The fully developed pseudostratified mucociliary epithelium contains basal, goblet and ciliated cells with functional tight junctions.

Intestinal Model
H&E-stained cross section of human Intestinal epithelial model produced on Bio-Spun™ PDLGA Scaffold. The stratified differentiated intestinal epithelium contains villi- and crypt-like structures, contains enterocytes, goblet cells, and Paneth cells and develops functional tight junctions.

Retinal Model
H&E-stained cross section of engineered 3D outer blood retinal barrier (3D-oBRB) using Bio-Spun™ PDLGA. The scaffold is used to support the development of the 3D-oBRB. By 6 weeks, the tissue has reached maturity with RPE pigmentation (RPE), capillaries (cl) and Bruch's membrane (BM) formation.

Skin Model
H&E-stained cross section of full thickness human skin model produced on Bio-Spun™ PET Scaffold. Extracellular matrix proteins produced by keratinocytes and fibroblasts self-assemble to form a robust dermal component and basement membrane structures. The epidermis contains a uniform basal keratinocyte layer, granular cell layer, and stratum corneum layer with in vivo-like barrier function.
